Четверг,
23 апреля 2026 г.

РЕКЛАМА
АНОНС
 
 
Возрастная категория сайта 16+
ПОЛНАЯ НОВОСТЬ
Понедельник, 25 марта 2013 г. 10:13
ЗДРАВООХРАНЕНИЕ

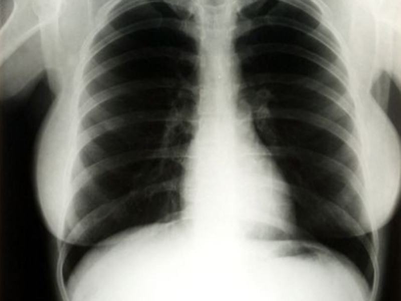
Выставка с флюорографическими снимками известных горожан открылась в Вологде

Выставка с флюорографическими снимками известных горожан открылась в Вологде
Фото:thenews.kz

Выставка «Твой главный снимок» открылась 25 марта в Вологде. На экспозиции представлены флюорографические снимки известных горожан. Выставка посвящена Всемирному дню борьбы с туберкулезом, который отмечают 24 марта.

Как сообщает ИА «СеверИнформ», снимки своих лёгких сделали вологодские политики, общественные и культурные деятели, а также журналисты. Кроме того, каждый, кто захочет обследоваться без направления, сможет также сделать флюорографию в передвижном аппарате. Он будет работать рядом с торговым центром в течение нескольких дней после открытия выставки в торгово-развлекательном центре на Окружном шоссе, 13.

Добавим, по информации сайта областного Департамента здравоохранения, сейчас зарегистрировано 905 вологжан, зараженных туберкулезом. Но можно сказать, что общий показатель заболеваемости и смертности по этой причине в регионе за последние пять лет снизился. Медики связывают это с профилактическими мероприятиями, направленными на борьбу с этим заболеванием.

©СеверИнформ, 2013 г.
21.03.2024  10:24  Калининградец нашел в огороде звезду ордена Короны
25.01.2024  14:40  Участник СВО сделал предложение возлюбленной в эфире телепередачи
12.10.2023  14:16  Известный художник сделал предложение возлюбленной баскетболистке на матче (ВИДЕО)
28.09.2023  17:56  Федор Конюхов задумал еще два рекорда
22.08.2023  18:02  Стала известна причина загадочного исчезновения котов в Череповце
 
СМОТРИТЕ ТАКЖЕ
Четверг, 23 апреля 2026 г.
16:45 Вологодская обл
 

В Вологде пройдет большой бесплатный концерт «Между прошлым и будущим» с участием оркестра «Юные Симфонисты Санкт-Петербурга»

20:48 Вологодская обл
 

В администрации Вологды произошли кадровые перестановки

20:46 Вологодская обл
 

Студенты — дети павших и раненых героев СВО могут оформить региональную выплату онлайн

20:40 Вологодская обл
 

В Череповце завершается капремонт отделения реабилитации для участников СВО

20:37 Вологодская обл
 

В Вологодской области стартовала акция «Георгиевская лента»

20:32 Вологодская обл
 

Более 40 новых объектов торговли и общепита появятся в Вологде в 2026 году

20:29 Вологодская обл
 

Вологодский бизнес получил свыше 179 млн рублей льготных микрозаймов в первом квартале

19:45 Вологодская обл
 

Вологодская область направила новую партию гуманитарной помощи в зону СВО

19:17 Вологодская обл
 

На дорогах Вологодчины усилили контроль

НОВОСТИ ПАРТНЕРОВ

 
РЕГИОНЫ
 
РУБРИКИ
 

КАЛЕНДАРЬ
 
ПН ВТ СР ЧТ ПТ СБ ВС
25262728123
45678910
11121314151617
18192021222324
25262728293031
 
Система Orphus
При полном или частичном использовании информации портала гиперссылка вида «ИА СеверИнформ» обязательна.
Яндекс.Метрика