Четверг,
23 апреля 2026 г.

РЕКЛАМА
АНОНС
 
 
Возрастная категория сайта 16+
ПОЛНАЯ НОВОСТЬ
Вторник, 19 марта 2013 г. 17:56
КУЛЬТУРА

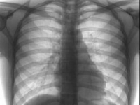
Выставка фотографий известных горожан с флюорографией в руках пройдет в Вологде

Выставка фотографий известных горожан с флюорографией в руках пройдет в Вологде
Фото:for-everybody.ru

Выставка фотографий известных горожан с флюорографическим снимком в руках пройдет в Вологде. Так образом организаторы намерены привлечь внимание к проблеме туберкулеза. Участниками акции станут политики, журналисты, культурные и общественные деятели. Все они сделают снимок, а затем сфотографируются с ним. Выставка откроется 25 марта в одном из торговых центров города. Там же в течение нескольких дней будет работать передвижной флюорограф. Любой желающий сможет пройти обследование без направления и очереди.

Добавим, что акция приурочена ко Всемирному дню борьбы с этим заболеванием, который отмечают 24 марта. Цель мероприятия — рассказать вологжанам, что туберкулез — опасное заболевание, заразиться которым может любой человек. Лечение болезни долгое и сложное, а диагностировать ее можно с помощью снимка флюорографии.

©СеверИнформ, 2013 г.
 
СМОТРИТЕ ТАКЖЕ
Четверг, 23 апреля 2026 г.
16:45 Вологодская обл
 

В Вологде пройдет большой бесплатный концерт «Между прошлым и будущим» с участием оркестра «Юные Симфонисты Санкт-Петербурга»

20:48 Вологодская обл
 

В администрации Вологды произошли кадровые перестановки

20:46 Вологодская обл
 

Студенты — дети павших и раненых героев СВО могут оформить региональную выплату онлайн

20:40 Вологодская обл
 

В Череповце завершается капремонт отделения реабилитации для участников СВО

20:37 Вологодская обл
 

В Вологодской области стартовала акция «Георгиевская лента»

20:32 Вологодская обл
 

Более 40 новых объектов торговли и общепита появятся в Вологде в 2026 году

20:29 Вологодская обл
 

Вологодский бизнес получил свыше 179 млн рублей льготных микрозаймов в первом квартале

19:45 Вологодская обл
 

Вологодская область направила новую партию гуманитарной помощи в зону СВО

19:17 Вологодская обл
 

На дорогах Вологодчины усилили контроль

НОВОСТИ ПАРТНЕРОВ

 
РЕГИОНЫ
 
РУБРИКИ
 

КАЛЕНДАРЬ
 
ПН ВТ СР ЧТ ПТ СБ ВС
25262728123
45678910
11121314151617
18192021222324
25262728293031
 
Система Orphus
При полном или частичном использовании информации портала гиперссылка вида «ИА СеверИнформ» обязательна.
Яндекс.Метрика